“醫師醫師,我神經是不是有點脫線? 可以幫忙用超音波掃掃看嗎?" Hmmmm,神經脫線沒辦法掃超音波,不過神經脫位可以XD。

(Ref: https://sites.google.com/site/anatomicalportfolio/the-elbow/elbow-pathology/ulnar-nerve-entrapment)
肘隧道(Cubital tunnel)位於手肘內側,內上髁和鷹嘴突中間。是尺神經(Ulnar nerve)常見受到壓迫的位置。也是僅次於腕隧道,第二常見的神經壓迫位置。這邊神經同時也在歐氏韌帶(Osborne ligament)的下方,如果歐氏韌帶不穩定,在手肘屈曲時會有尺神經的滑動。

圖為尺神經在肘隧道的樣子,介於內上髁和鷹嘴突之間。上方覆蓋的是滑車上肘肌(Anconeus epitrochlearis), 這條肌肉又稱附屬肘肌(Accessary Anconeus),大約15%的人會有這條肌肉。
(Ref: https://radiopaedia.org/articles/anconeus-epitrochlearis)
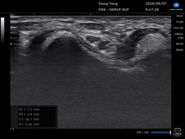
我們沿著尺神經往下掃描,發現在一開始和最後,尺神經的大小都還OK,只有在經過肘隧道的位置才比較腫大。


把尺神經拉成長軸,就可以看到哪個位置比較腫脹。
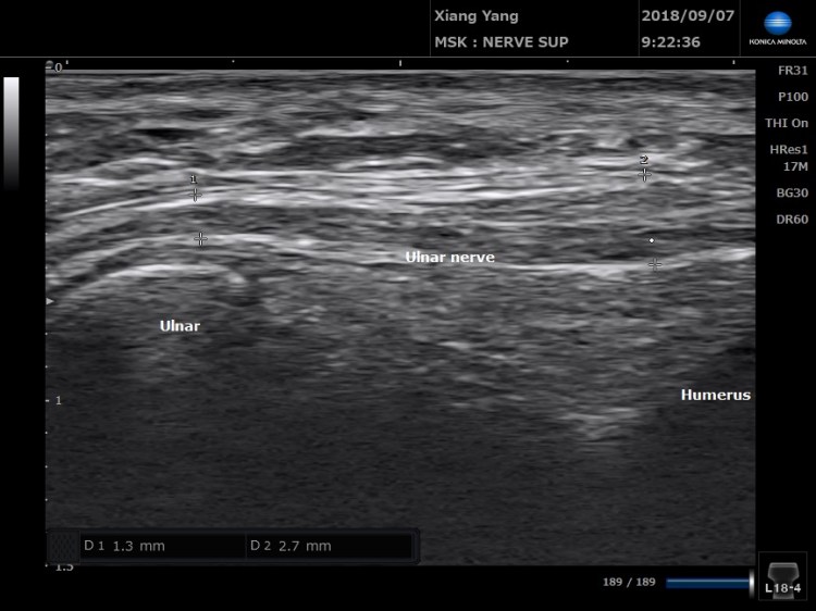
把探頭放在肘隧道處,可以看到手肘伸直的時候,滑車上肘肌用力,把尺神經往內上髁的位置擠出去。 這個就是傳說中的尺神經脫位喔!!
神經脫位,不一定會造成症狀,除非因為反覆脫位,導致第4-5指麻木,並且在肘隧道處真的有看到神經腫脹(一般來說正常值約0.10cm2)。 這時可以透過神經解套治療去解除神經腫脹的現像。治療選項還有透過增生治療強化歐氏韌帶(Osborne ligament),或是透過運動訓練減少滑車上肘肌過度活化,真的效果不彰,也可以透過手術做尺神經轉位。 請跟醫師詢問適合您的治療方式。