
首先….不是唱左右為難的鄭中基大哥XD。 臀中肌是位於髖外側的淺層肌肉之一,包含了前側與後側纖維。

理論上它可以做髖外展(abduction)的動作,並且前側纖維可以幫助髖曲(hip flexion),而後側纖維可以幫助髖伸(hip extension)。這樣一條可以有兩個相反功能的肌肉,通常代表他有比較大的協調穩定功能。日常生活中,我們並不會有很大的機會一直做出髖外展的動作,所以反而是當同側腳著地的時候,臀中肌要反過來去穩定我們的骨盆。假設右側的臀中肌力量不足,那當右腳支撐時,左側的骨盆會往下掉。看起來就像模特兒走秀一般,又稱"特倫德倫堡步態" (Tredenlenburg gait)

(右圖的臀中肌穩定力量不佳,導致走路時拉不住,左側骨盆會往下掉)

臀中肌的後側束接在大轉子的後上小面(Superoposterior facet),有部分人的後側束有纖維與梨狀肌連接,前側束則坐落在大轉子的外側小面(Lateral facet)。而大轉子的前側小面(Anterior facet)則是臀小肌連接的位置。
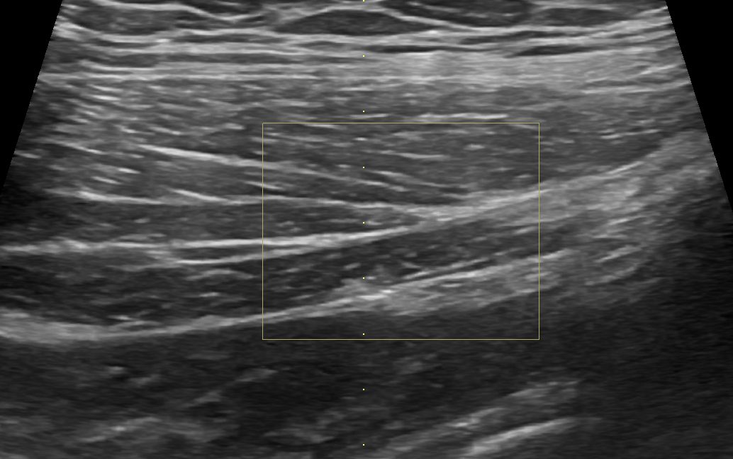
透過超音波檢查,我們可以區分出這幾條肌肉的相對位置,甚至跟對側比較,去看是否肌肉源頭(origin)、連接在骨頭處(insertion)或是肌鍵與肌肉中間的部分有撕裂或部分斷裂的狀況。


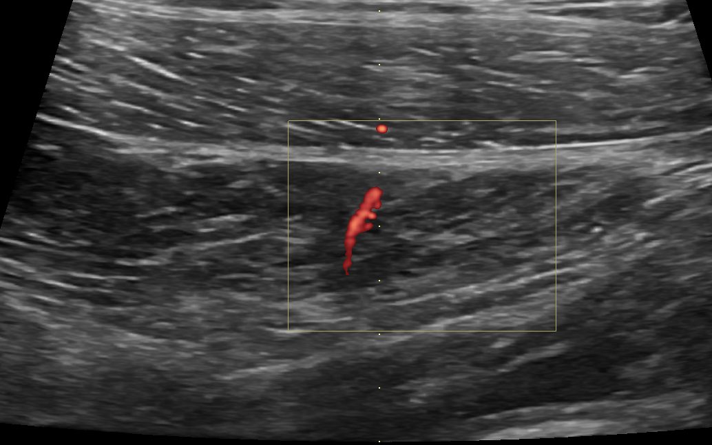
(跟對側比較,臀中肌的後側纖維比較不平整、比較腫脹且血流增加,暗示這邊有一個撕裂處)
常見合併問題
臀中肌的神經支配來自於腰椎第四、第五與薦椎第一節來的臀上神經(Superior gluteul nerve),來自腰椎第四、第五與薦椎第一節的壓迫確實可能造成臀中肌無力。而當臀中肌力量不足時,有些人會用臀小肌或梨狀肌代償,也是很容易常見合併的問題。

(臀中肌前側纖維與臀小肌較為相近,臀中肌後側纖維與梨狀肌較為相近,也有部分纖維連接,常見互相代償)
臀中肌疼痛痛哪邊??

(臀中肌的傳導痛主要坐落在臀部外側往下延伸,但有些人會因為影響到梨狀肌導致薦髂關節與梨狀肌接到大轉子的地方也在痛)

這種疼痛方式會很像壓迫到第三節神經根的疼痛,所以在臨床上需要做更詳細的理學檢查評估,來區分到底是哪邊的問題。
如果在訓練時一直有臀中肌啟動的問題,或是疼痛剛好在臀中肌的相關位置,不妨檢查一下,找到受傷位置透過增生注射讓訓練更容易,並且脫離疼痛-沒力-不動-更痛的惡性循環。