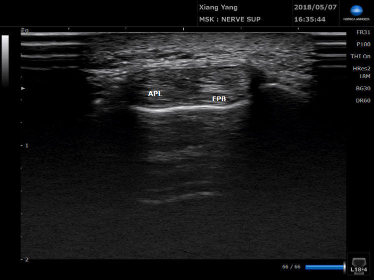
常被誤診為媽媽手的隔間症候群(Intersection syndrome)。
26歲男性,昨天玩傳說對決(DC超人),因為該角色操作需要反覆的手腕伸直和大拇指的動作,隔天手腕無法做往背側伸展的動作.
格肩症候群痛的位置比媽媽手還要在中間一點,除了打針與物理治療以外,使用貼紮減少肌腱的用力。可以更快回到正常工作。







再生醫學與疼痛治療
常被誤診為媽媽手的隔間症候群(Intersection syndrome)。
26歲男性,昨天玩傳說對決(DC超人),因為該角色操作需要反覆的手腕伸直和大拇指的動作,隔天手腕無法做往背側伸展的動作.
格肩症候群痛的位置比媽媽手還要在中間一點,除了打針與物理治療以外,使用貼紮減少肌腱的用力。可以更快回到正常工作。






