**本篇自參考Caring Medical 的文章,如需全文請點這
脊椎滑脫顧名思義即是因為創傷、姿勢不良或退化,導致脊椎韌帶或小面關節不穩定導致上下脊椎沒有正位。單純沒有正位不會有太大影響,但通常脊椎滑脫會合併神經孔變小,若壓迫到神經就會有明顯症狀。

根據滑脫的程度,大致上可分為四級:
0-25%: 第一級滑脫
25%-50%: 第二級滑脫
50%-75%: 第三級滑脫
75%-100%: 第四級滑脫
根據滑脫的成因,大致上可分成五型:
1.Type I(Congenital,先天型): 脊椎小面關節天生發育不良有關
2.Type II(Spondylotic, 椎弓解離型) :椎弓骨折或斷裂,常合併有椎間盤問題
3.Type III(Degeneratic, 退化型) :小面關節退化不穩導致
4.Type IV(Traumatic, 外傷型) :外傷造成
5.Type V(Pathologic, 病理型) :腫瘤引起的病理性骨折或椎弓斷裂
比較常見的是Type II跟Type III, 而小面關節的退化或先天不良其實是滑脫的高危險群。因此在滑脫的患者身上,小面關節的治療是基礎的治療。
關於小面關節的問題,可以參考這一篇。

在脊椎不穩定造成滑脫的患者,除了透過核心運動去強化肌肉外,這些鬆動的韌帶與是可以透過增生治療強化這些韌帶的穩定性,避免滑脫更加惡化。更甚者,在滑脫的患者,平常這些韌帶的傳導痛區域,就是平常腰痠背痛的位置。

Hackett、Hemwall、Hauser三位醫師提出了這些韌帶與傳導痛的區域。對於傳統下背痛的患者,在手術前,透過增生注射,修復韌帶如果能夠降低疼痛與改善生活品質,那對於患者是非常幸福的一件事情。

偶而可以看到髂腰韌帶疑似鈣化的位置。但有可能是之前受傷後的纖維化。

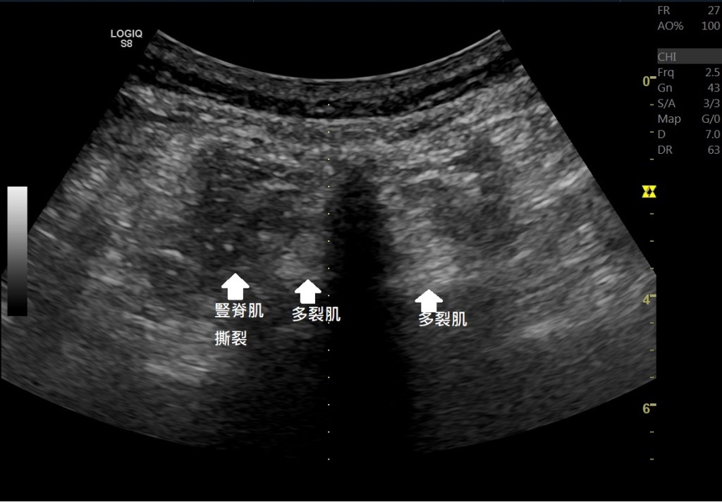
在超音波底下除了可以看到小面關節骨刺、韌帶撕裂、韌帶鈣化等等著病徵,甚至在肌肉層也會有一些變化。例如多裂肌的纖維化(Fatty fibrotic change)、豎脊肌的撕裂,這些都跟脊椎滑脫有關。
在第一級滑脫(25%)以內的患者,高濃度葡萄糖與PRP的增生注射是有顯著的幫忙。而太嚴重第三級或第四級滑脫的患者,增生注射可能可以改善一些症狀,但因為這麼嚴重通常還是合併神經孔與椎間盤的問題,手術還是比較實際的做法。

小面關節半脫位、脊椎滑脫都屬於脊椎不穩定的族群,若沒有適度的修復與運動訓練,下一步就是椎間盤的問題。早期治療,維持姿勢,運動訓練是避免越來越嚴重的第一步。